Santé
- Un Labrador noir et un jaune
- Couleur (combinaison possible chez le Labrador)
- Test génétique pour la preuve de la myopathie congénitale (CNM)
- EXERCISE INDUCED COLLAPSE ou EIC CHEZ LES RETRIEVERS
- Héréditaire nasale Parakératose (HNPK)
- Identification génétique Chien
- Certificat ADN de parenté
- La Myélopathie Dégénérative dit DM
- La narcolepsie (NARC) Test
- RS OSD
- Coude - Hanche - prcd/PRA - Tares oculaires
- SD2
- PL
- Mieux comprendre la transmission des maladies génétiques
- Mieux comprendre les résultats des testes et la transmission
Les couleurs du labrador admises par le standard sont : le noir, le marron (foie/chocolat) et le jaune (qui s’étend du « crème » clair au roux du renard). Une petite tache blanche sur le poitrail est admise par le standard et quelques poils blancs placés sous les pattes sont tolérés. On donne le nom de « bolo pad » à cette marque qui était déjà présente sous les pattes de Bolo Banchory (né en 1915).
Exemple de Bolo pad.
Le noir est la couleur préférée des « puristes » bien que les autres étaient déjà vraisemblablement présentes dés l’origine des labradors. Le jaune n’a que très rarement une couleur de robe uniforme, le dos et les oreilles sont quasiment toujours plus foncés. Quant au « chocolat », selon la sélection opérée par l’éleveur, il s’étale d’une nuance claire à foncée et généralement la robe foncée et bien uniforme est préférée.
C’est du travail de sélection de l’éleveur que dépendent aussi la couleur et les gènes portés des chiens « produits ». Le choix des chiens pour les mariages est donc très important. Certains préféreront faire naître du noir pensant qu’il est plus proche du « lab » originel, d’autres, du chocolat car très à la mode (et parfois plus intéressant financièrement parlant…), enfin, les derniers produiront du jaune, plus apprécié comme chien de compagnie car à l’apparence moins agressive (il n’y a pas de labradors agressifs !).
Il existe une autre couleur pouvant résulter du mariage des couleurs « normales », le yellow liver (encore appelée « pale skin » ou « dudley ») qui est en fait un labrador jaune aux yeux clairs et muqueuses non pigmentées.
Souvent considéré comme une « tare », le yellow liver n’entre pas dans le cadre des critères du standard et ne peut donc être confirmé. Il ne pourra pas être inscrit au LOF à titre définitif et ne devra donc pas être utilisé pour la reproduction. Les 2 parents d’un yellow liver peuvent pourtant être inscrits au LOF mais lui ne peut pas être confirmé… Hors de France (où la confirmation n’existe pas…), il possède un pedigree à sa naissance comme tout chien de race mais n’entre pas pour autant dans le standard.
Les autres couleurs existantes (notamment aux USA) : « champagne », « blue », « silver » ou « charcoal » sont généralement le résultat de croisements avec des chiens d’autres races et ne sont donc pas reconnues par le standard. Ce ne sont pas des labradors « pure race »… Ils sont de « type labrador ».
Parfois « dame Nature » fait des siennes et il arrive qu’un (ou des) gène(s) ne se comporte(nt) pas « normalement » et que la répartition des couleurs sur la robe de chiots révèle quelques surprises… Le moyen scientifique permettant de connaître les couleurs portées est le code génétique, il est représenté par les 4 lettres B, b, E et e, qui sont en fait 2 paires de gènes. La première paire est appelée B pour Brown (marron) et la seconde est appelée E pour Extension. La seconde lettre de chaque paire représente un gène dit « récessif ». Le phénotype (dont la couleur visible) dépend des gènes transmis par les parents et de la constitution de chacune des paires présentent dans leur génotype (gènes portés). Chacune a son importance car le fruit du mariage d’un chien et d’une chienne résulte des gènes qu’ils apportent. Chaque paire, fournie par moitié par le père et la mère, est constituée de 2 allèles. Le premier allèle est dit « dominant », il s’écrit avec une lettre majuscule tandis que le second est dit « récessif » et s’écrit en minuscule.
Pour schématiser, la première paire détermine si le chien doit être noir ou marron et la seconde paire « décide » de laisser s’exprimer normalement la première paire ou d’en faire un chien jaune. D’où la complexité de réussir un « bon » mariage (qui ne se limite pas à la couleur des chiots…) pour certains éleveurs surtout si leur animal est porteur des 3 couleurs ! Tandis que les personnes non expérimentées s’étonnent souvent de constater que les chiots peuvent être de différentes couleurs dans une même portée, voire ni de la couleur de la mère ni de celle du père…

Les 3 couleurs « visibles » (noir, marron et jaune) sont le phénotype tandis que les gènes portés constituent le génotype. Il existe 9 combinaisons décrites dans le tableau plus bas.
- Un labrador noir pourra être : noir « pur », porteur du marron, porteur du jaune ou porteur du jaune et du marron !
- Un marron pourra être : « pur » ou porteur du jaune (jamais du noir).
- Un jaune pourra être : « pur », porteur du marron ou yellow liver (YL)… Hormis lorsqu’il est un YL, le jaune porte le noir.
Le marron est communément appelé « chocolat » et le jaune parfois « sable ».
Constitution d’une paire, par exemple la 1ère (attention, on ne tient pas compte ici de l’influence de la 2ème paire !) :
Dans le petit tableau ci-dessous, on voit que la mère porte les gènes Bb, elle est donc noire porteuse marron. Le père porte les gènes BB, il est donc noir « pur ». Les 4 cellules avec fond blanc représentent 100% de la portée. Chaque chiot reçoit un gène de chacun de ses parents. Ainsi, dans les 2 cellules du haut, 50% des chiots (2 x 25%) héritent de la paire BB. Ces chiots seront noirs comme leur père. Dans les 2 cellules du bas, 50% des chiots (2 x 25%) héritent de la paire Bb (B de leur père et b de leur mère). Ces chiots seront noirs porteurs du marron, comme leur mère.
Au final, tous les chiots de cette portée seront noirs mais la moitié d’entre eux portera le marron.

Autre exemple, avec un parent marron (attention, on ne tient pas compte ici de l’influence de la 2ème paire !) :
Dans le petit tableau ci-dessous, on voit que la mère porte les gènes Bb, elle est donc noire porteuse marron. Le père porte les gènes bb, il est donc marron « pur ». Dans les 2 cellules du haut, 50% des chiots (2 x 25%) héritent de la paire Bb. Ces chiots seront noirs porteurs du marron comme leur mère. Dans les 2 cellules du bas, 50% des chiots (2 x 25%) héritent de la paire bb. Ces chiots seront marron « pur », comme leur père.
Au final, les chiots de cette portée seront pour moitié noirs porteurs du marron et l’autre moitié marron « pur ».

Les combinaisons dont les chiots peuvent hériter sont :
– pour le gène B :
BB = chien noir « pur »,
Bb = chien porteur du marron,
bb = chien marron
– pour le gène E :
EE = la 1ère paire s’exprime normalement (chien noir ou marron),
Ee = la 1ère paire s’exprime normalement mais le chien est aussi porteur du jaune (chien noir ou marron)
ee = la 1ère paire ne peut pas s’exprimer normalement et le chien est jaune. En outre, il peut être yellow liver ou simplement porteur du marron.
Transmission des gènes des parents au chiot. Chaque parent transmet 2 gènes. Chaque gène du chiot provient d’une des 2 paires de chaque parent.
Comme vu précédemment, chaque parent « apporte » un gène pour la première paire (B ou b) et un pour la seconde paire (E ou e). Soit au total 4 possibilités pour chacun des parents : BE, bE, Be ou be. 4 possibilités pour la mère et 4 possibilités pour le père donnent 16 combinaisons (4 x 4). La combinaison des gènes ainsi hérités constitue le génotype du chien.

En observant le tableau ci-dessus on se rend compte que des combinaisons apparaissent plusieurs fois et qu’en fait, il y en a 9 différentes : BBEE, BBEe, BbEE, BbEe, bbEE, bbEe, BBee, Bbee et bbee. Elles sont décrites en détail dans le tableau suivant :

D’autres gènes peuvent avoir une incidence sur la couleur du chien, notamment les A (Agouti), C (Concentration), D (Dilution), P (Pink-eye dilution), S (Spotting), etc… Ils ont pour conséquences, la bonne répartition des couleurs sur les différentes zones du corps (oreilles, dos, museau, tour des yeux, etc…), la présence de poils blancs, la teinte plus ou moins foncée des couleurs du chien, la couleur de ses yeux et beaucoup d’autres caractéristiques encore… La couleur visible du chien ne permet donc pas de connaître les couleurs portées, seul un test ADN le permet avec quasi certitude.
Les tableaux ci-dessous montrent la répartition des couleurs et gènes des chiots d’une portée selon les gènes transmis par les parents. Dans la colonne de gauche se trouvent les chiens « mariés », dans celle de droite, la portée obtenue.
Ainsi, dans le premier exemple, 100% des chiots issus du mariage de parents noirs « pur » le seront également.
Dans le second exemple, un des parents est noir « pur », l’autre est noir porteur du chocolat. La moitié de la portée (50%) sera constituée de noirs « pur » et l’autre (50%) de noirs porteurs du chocolat, etc…
La répartition des couleurs dans la colonne de droite des tableaux est « théorique » (pourcentage).
Test génétique pour la preuve de la myopathie congénitale (CNM)
Race de chien
Labrador Retriever
CNM Myopathie – la maladie
La myopathie congénitale chez le Labrador Retriever était décrite la première fois dans les Etats Unis il y a 25 ans. Cette maladie est également connue en Europe et en Australie de différents synonymes comme par ex. „centronuclear myopathy“ (CNM). Dans la biopsie musculaire des chiens atteints, on constate une destruction et une diminution ou une augmentation de la plupart des muscles striés et une multiplication du tissu conjonctif. Un manque des myofibrilles type 2 (qui sont importants pour le travail musculaire de long terme) et une atrophie ou bien une hypertrophie des myofibrilles type 1 est présent. Histopathologiquement, on trouve une centralisation des noyaux cellulaires dans les cellules musculaires, ce qui est très caractéristique pour cette maladie. On trouve cette centralisation souvent avec une agrégation des mitochondries dans les parties sans myofibrilles.
CNM Myopathie – les symptômes
Les symptômes typiques sont: une hypotonie, une faiblesse des muscles généralisée, une attitude anormale et une mouvement raide. Les animaux atteints sont faibles, et ils s’effondrent quand on les expose au froid. Une myatrophie (les muscles de la tête peuvent aussi être atteints) est provoquée, lorsqu’on les fait travailler. On découvre les premiers symptômes dès l’âge de 6 semaines à 7 mois.
CNM Myopathie – la mutation
La myopathie congénitale chez le Labrador Retriever se transmet héréditairement sur le mode autosomique récessif. (Au contraire chez le golden Retriever, la myodystrophie est liée au sexe).
Ça veut dire, qu’un chien est seulement malade quand il a reçu deux gènes atteints – un de son père et un de sa mère.
Donc : le père et la mère doivent être hétérozygote pour la mutation du gène de CNM.
Des chiens hétérozygotes, cela signifie des animaux avec un gène atteint, ne peuvent pas tomber malade, mails ils font passer le gène atteint aux descendants avec une possibilité de 50%. On n’est pas absolument obligé d’exclure les chiens hétérozygotes de l’élevage, mais on devraient seulement accoupler un chien hétérozygote avec un chien sain, afin d’être certain d’avoir des descendants hétérozygote mais sains. Avec un élevage bien choisi, on peut exclure cette maladie de la population.
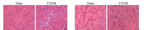
Le Chien CNM (Canine Centronuclear Myopathy)
La myopathie canine centronucléaire, affectant les Labradors Retrievers etidentifiée en France dans les années 90, représente le seul modèle spontané de myopathie centronucléaire autosomique humaine. L’anomalie génétique responsable de la maladie a été caractérisée en collaboration avec l’équipe de Laurent Tiret (UMR 955 de génétique moléculaire et cellulaire – ENVA). Elle affecte un gène codant pour une protéine appelée PTPLA (Protein Tyrosine Phosphatase-Like A). La fonction de cette protéine est encore inconnue, cependant, elle présente de fortes similitudes fonctionnelles avec la Myotubularine (substrat moléculaire déficitaire dans la myopathie centronucléaire humaine liée au sexe). Les objectifs actuels sont d’identifier la fonction de PTPLA et de comprendre comment la mutation de son gène entraine les phénotypes observés.
Marquage Hémato-éosine de sections transversales de biopsies musculaire de chiens âgés de 5 mois (gauche) et de 7 ans (droite).
La mutation que nous avons identifiée est actuellement responsable de la majorité des cas recensés aux USA, en Grande Bretagne, ou encore en Suisse, indiquant une homogénéité génétique en dépit de phénotypes variables. Aussi, afin d’épurer l’élevage du Labrador Retriever, l’UMR de génétique moléculaire et cellulaire a créé un site web (http://www.labradorcnm.com/) visant à collecter et à analyser un grand nombre d’échantillons biologiques
EXERCISE INDUCED COLLAPSE ou EIC CHEZ LES RETRIEVERS (LABRADOR, CHESAPEAKE BAY & CURLY COATED)
Description La maladie se caractérise par un affaiblissement des muscles, une intolérance à l’effort, une paralysie des membres suite à un effort. Les animaux atteints font une syncope après un effort intense ou prolongé, ils récupèrent en général 10 à 20 minutes après mais il a été observé quelques cas de syncope mortels ; il est donc primordial de stopper tout effort dès la manifestation de ces signes. Dépistage de la maladie génétique Une équipe de l’Université du Minnesota a identifié la mutation responsable de la maladie. Elle affecte une protéine la Dynamin 1 qui, en temps normal, permet de maintenir la communication entre les neurones (transmission synaptique). La forme mutante de la protéine a une fonction diminuée ce qui a pour conséquence l’interruption de la communication entre les neurones lors d’efforts intenses et donc une absence d’’influx nerveux au niveau des muscles. Cette même équipe estime à environ 30% le pourcentage d’animaux porteurs de la maladie. Le dépistage génétique permet d’identifier les individus porteurs de la maladie c’est à dire qui peuvent la transmettre à leur descendance. Il est toujours préférable de ne pas accoupler deux individus porteurs et de favoriser l’accouplement d’individus sains non porteurs. Le test de dépistage est protégé par un brevet. Nous sommes en mesure de vous proposer le test génétique de dépistage via notre partenariat avec le seul détenteur de la Licence Européenne. Ce test permet d’identifier les individus sains non atteints, porteurs non atteints et les individus atteints. Le prélèvement nécessaire pour ce test est buccal ou sanguin. Expression des résultats et signification En génétique le code pour désigner la copie (allèle) sauvage d’un gène est « + » et à l’inverse le code pour désigner la copie (allèle) mutée d’un gène est « – ». ainsi, après un test de dépistage EIC, le statut d’un chien pourra être soit : + / + Homozygote sauvage – Non porteur d’EIC, ne transmettra jamais la mutation – / + Hétérozygote – Porteur sain d’EIC, transmet la mutation, statistiquement, dans 50% des cas – / – Homozygote muté – Atteint d’EIC, transmet la mutation dans 100% des cas Pour éviter la propagation de cette pathologie,, nous recommandons de tester les reproducteurs. Pour optimiser l’organisation de votre reproduction, veuillez consulter l’échiquier de croisement ci-dessous :
Il existe trois types génétiques :
1. de type génétique N/N (homozygote sain) : ce chien ne porte pas la mutation et il a très peu de risque d’être atteint de la maladie EIC.
Il ne transmet pas la mutation à ces descendants.
2. de type génétique N/EIC (hétérozygote, mais sain) : ce chien porte un gène muté. Il a très peu de risque d’être atteint de la maladie EIC mais il transmet la mutation à ces descendants avec une possibilité de 50%. Un tel chien devrait seulement s’accoupler avec un chien sans mutation (homozygote sain).
3. de type génétique EIC/EIC (homozygote atteint) : ce chien porte deux gènes mutés et il a un très grand risque d’être atteint de la maladie EIC. Il transmet la mutation à ces descendants avec une possibilité de 100%. Un tel chien devrait seulement s’accoupler avec un chien sans mutation.
Plus que 80% des chiens ayant le génotype EIC/EIC développent à l’âge de 3 ans les symptômes typiques de EIC et ils ont déjà eu au minimum un collapsus. Les chiens ayant le génotype N/EIC oubien N/N peuvent développer des symptômes similaires. Mais ces manifestations sont normalement d’autres sources. Par ex. la myopathie centronucléaire (CNM, HMLR) peut également se manifester avec une faiblesse musculaire et une démarche crispée. Ce défaut peut être testé par le test génétique HMLR.
Pour: Labrador Retrievers; Lab / croix d’or; Labradoodles & labrador, Australiens
OptiGen est heureux d’offrir le test héréditaire nasale Parakératose (HNPK) (en attente de brevet EP2666871A1, US20130316345) par licence avec Laboklin Laboratories. HNPK est un trouble héréditaire de la peau observée dans Labrador Retrievers. Les premiers symptômes de hyperparakeratosis apparaissent à l’âge de six mois à un an de l’âge et présente comme échelles croustillants sur la plaquette nasale. Parfois fissures douloureuses peuvent également se produire, conduisant à l’irritation chronique et l’inflammation de la peau nasale. Bien que la maladie ne soit pas mortelle, elle est persistante et nécessite l’application continue des agents hydratants et des antibiotiques pour le nez du chien affligé pour soulager les symptômes.
HNPK est hérité comme un mode autosomique récessive monogénique, ce qui signifie que, pour la maladie de se produire une progéniture doit hériter de deux copies de l’un mutation- de chaque parent. Une mutation d’un seul nucleotide dans le gène SUV39H2 a été établi que le défaut génétique responsable pour HNPK dans cette race par Jagannathan et al .. Les observations histologiques des HNPK affectés labradors indiquent que la mutation entraîne un retard dans la différenciation des cellules spécialisées l’épiderme nasales. À ce jour HNPK a été décrit exclusivement dans le Labrador Retriever. Pas d’autres effets évidents sur la santé du chien ont été rapportés comme étant associés à la mutation.
Prévalence de HNPK mutation
Les données préliminaires suggèrent que la fréquence de la mutation HNPK est assez élevé dans les deux populations européennes et américaines de Labrador Retrievers, avec environ 10% des chiens testés portant au moins une copie de la mutation.
Test HNPK
Le test de l’ADN de OptiGen pour la mutation de HNPK permet la détection de la présence de 0, 1 ou 2 copies de la mutation représentant Normal (Clear), Carrier et génotypes concernés, respectivement.
Stratégies de sélection pour HNPK mutation
Depuis cette mutation a des effets délétères sur le développement nasale de la peau dans son état homozygote (lorsque deux copies de la mutation sont présents), il est fortement recommandé que les porteurs de la mutation ne devraient être à un compagnon qui a été ADN testé Normal / Effacer de la mutation. Comme éleveurs du Labrador qui sont familiers avec les tests prcd-PRA sauront, un tel accouplement veillera à ce qu’aucun des descendants atteints sont produites. Les résultats prévus (en moyenne) sont décrites dans le tableau ci-dessous. rognures Mate doivent être disposés de manière à entraîner des génotypes de progéniture dans les zones grises.
| Les résultats attendus pour les stratégies de sélection à l’aide du
test de mutation pour HNPK |
|||
| Parent 1Statut | Parent 2 Statut | ||
| Normale / Effacer | Transporteur | Affecté | |
| Normale / Effacer | Tous = Normal / Effacer | 1/2 = Normal / Effacer1/2 = Transporteur | Tous = Transporteur |
| Transporteur | 1/2 = Normal / Effacer1/2 = Transporteur | 1/4 = Normal / Effacer1/2 = Transporteur1/4 = Affectés | 1/2 = Transporteur1/2 = Affectés |
| Affecté | Tous = Transporteur | 1/2 = Transporteur1/2 = Affectés | Tous = touchées |
Références:
- Page’ N, M Paradis, JM Lapointe, Dunstan RW (2003) nasale héréditaire parakératose dans Labrador Retrievers.Vet Dermatol 14: 103-110.
- Jagannathan et al., (2013) une mutation dans le gène dans SUV39H2 Labrador Retrievers avec héréditaire nasale Parakératose (HNPK) donne un aperçu des épigénétique de la différenciation des kératinocytes.PLoS Genetics, 9, e100384.
Qu’est-ce que l’identification génétique ?
L’identification génétique consiste à établir l’empreinte génétique infalsifiable et unique d’un chien en analysant son ADN.
L’empreinte génétique est constitué de 22 marqueurs génétiques : 21 marqueurs microsatellites très variables et un marqueur de sexe. Les marqueurs génétiques sont codés sous forme de lettres. La combinaison des marqueurs est différente d’un chien à un autre même s’ils sont apparentés (sauf les vrais jumeaux).
Le panel de marqueurs utilisés par ANTAGENE correspond à la norme ISAG 2006.
La norme ISAG 2006 est le seul système d’identification génétique reconnu en France pour le chien. La norme ISAG 2006 est reconnue et validée au niveau international par la Société Internationale pour la Génétique Animale (ISAG ou International Society for Animal Genetics). La norme ISAG 2006 est reconnue par la Fédération Cynologique Internationale (FCI) et mise en œuvre par presque tous les laboratoires en Europe.
ANTAGENE est membre de l’ISAG et a obtenu un score de 100% dans le cadre des essais inter-laboratoire conduits en 2014.
- 5 bonnes raisons de faire l’ADN de vos chiens
Une paralysie d’origine génétique évitable grâce à un test ADN
La Myélopathie Dégénérative conduit à une paralysie des pattes arrières à partir de 8 ans. Un test ADN fiable permet de dépister les reproducteurs, d’adapter les accouplements pour éviter de faire naitre des chiots atteints et de propager la maladie dans la race.
Une grave maladie neurologique
La Myélopathie Dégénérative est une dégénérescence de la moelle épinière qui conduit, entre 8 et 14 ans, à une perte de coordination puis à une paralysie progressive des membres postérieurs.
Les premiers symptômes se traduisent par une démarche oscillante et une faiblesse des membres. Le chien traine les pattes, a des difficultés à rester debout et à se déplacer. Le chien devient paraplégique et développe éventuellement une paralysie des membres antérieurs.
Cette maladie peut être confondue avec une hernie discale ou avec une dysplasie de la hanche.
L’éleveur doit protéger son élevage
De nombreuses races de chien sont touchées par cette maladie : Berger des Pyrénées, Caniche Shetland, Chien de Rhodésie à Crête Dorsale, Chien Loup de Saarloos, Chien Loup Tchécoslovaque, Colley, Hovawart, Kerry Blue Terrier, Retriever de la Baie de Chesapeake, Terrier Irlandais à Poil Doux, Welsh Corgi Cardigan et Prembroke
Un chien reproducteur qui est porteur sain, ne développe pas la maladie mais la transmet à 50% de sa descendance (maladie récessive). Un éleveur peut accoupler sans le savoir un mâle porteur et une femelle porteuse et engendrer une portée avec des chiots potentiellement atteints qui exprimeront les symptômes tardivement. Un étalon porteur qui se reproduit beaucoup va propager la maladie au sein de la race. La Myélopathie Dégénérative se déclarant très tardivement, tout éleveur peut également reproduire un chien atteint sans le savoir et transmettre la mutation à 100% de sa descendance.
Un test ADN facile à réaliser
A l’aide d’un simple frottis buccal envoyé au laboratoire, l’éleveur effectue un test ADN, le test DM, qui permet de déterminer si le chien testé est homozygote normal (sain), hétérozygote (porteur sain) ou homozygote muté (atteint).
Si le mâle testé est porteur sain, l’éleveur devra alors faire attention d’accoupler ce chien avec une femelle saine afin de ne pas produire de chiots atteints.
Par ailleurs, le résultat, délivré sous la forme d’un certificat génétique valable à vie, permet d’apporter des garanties dans le cadre d’une saillie ou pour justifier la vente de chiots non porteurs de la Myélopathie Dégénérative.
Le vétérinaire qui observe des problèmes d’ataxie ou de paralysie chez un vieux chien peut mettre en œuvre le test DM pour confirmer ou infirmer le diagnostic de Myélopathie Dégénérative. Si le chien est effectivement atteint, les chiots sont obligatoirement porteurs et une attention particulière doit être portée à cette lignée qui présente probablement une proportion plus importante de chiens porteurs.
En conclusion, l’éleveur qui connaît le statut génétique de ses chiens ne prend pas de risque, sécurise son élevage et peut alors sélectionner ses reproducteurs, adapter les accouplements, éviter de faire naitre des chiots atteints et limiter la propagation de cette maladie grave dans l’élevage et dans la race.
Il est donc recommandé de réaliser, sur les principaux reproducteurs, le test ADN de dépistage de la Myélopathie Dégénérative (test DM) qui permet de dépister cette maladie avec une fiabilité supérieure à 99%.
S’il vous plaît noter que des tampons de joues ne sont pas acceptés pour ce test.
Le OptiGen narcolepsie – NARC – test est un test basé sur l’ADN qui fournit, pour la première fois, une méthode pour identifier sans équivoque la narcolepsie chez plusieurs races – Dobermann, retrievers et teckels Labrador. Ce test vous permet de contrôler la fréquence du gène narcolepsie dans votre race de manière à empêcher les chiots produisant touchées par la maladie.
Un article de Mary M. Woodsen raconte l’histoire de la façon dont ce test a été développé. L’article suit ci-dessous, après que l’information sur les essais.
Identification fiable des chiens qui ne sont pas porteuses de gènes de la maladie est la clé pour contrôler maladies autosomiques récessives. Le test permet OptiGen NARC 100% identification précise de ces chiens. Appelé «génétiquement clair », « non-porteurs» ou, plus formellement, «normales homozygotes,« ces chiens peuvent passer que le gène normal à tous leurs petits-ce qui signifie qu’aucun de leurs petits ne peut jamais être affectée à la narcolepsie. Ces chiens «effacer» peuvent être élevés pour tout compagnon, même à un chien de narcolepsie touchés qui peuvent être une perspective de reproduction souhaitable pour d’autres raisons.
Des moyens homozygotes les deux copies du gène dans votre chien sont les mêmes – à la fois normal ou les deux NARC.Un transporteur a un normal et un gène NARC.
Parce que le test OptiGen NARC est un test de mutation génique basée, il identifie précisément et spécifiquement des chiens normaux, porteurs hétérozygotes (chiens) et affecteds. Les résultats des tests possibles sont énumérés dans le tableau ci-dessous.
| Les résultats possibles en utilisant le test OptiGen NARC | |||
| N = | Normal (Clear) | Homozygotes pour le gène normal, donc ne sera jamais développer la maladie | |
| C = | Transporteur | Porte un gène de la maladie, mais ne sera jamais développer la maladie | |
| A = | Affecté | Homozygotes pour le gène de la maladie et développera la maladie | |
| Ceci est le résultat qui sera déclaré par le test OptiGen narcolepsie. | |||
Le tableau suivant met en évidence tous les élevages souhaitables qui ne produiront pas chiots atteints. Ces élevages comprennent au moins un parent prouvé « normal » par le test OptiGen NARC. Tous les autres élevages sont à risque de produire des chiots de narcolepsie touchées. Cependant, tous les chiens peuvent être élevés en toute sécurité. Il est pas nécessaire ou même souhaitable, pour éliminer tout chien de la population reproductrice. Mais au moment de choisir les chiots de retenir que le potentiel élevage, il est important de choisir pour les chiens éprouvées « normal » par le OptiGen NARC test et sélectionnez, lorsque cela est possible, contre les chiens avérés porteurs. Les chiots peuvent être testés de distinguer les transporteurs des normales dès qu’ils sont assez vieux pour avoir un petit échantillon de sang recueilli.
| Les résultats attendus de stratégies de reproduction en utilisant des tests de mutation OPTIGEN pour les maladies récessives héréditaires | |||
| Parent 1
Génotype |
Parent 2 Génotype | ||
| Normal | Transporteur | Affecté | |
| Normal | Tous = Normal | 1/2 = Normal
1/2 = transporteurs |
Tous les transporteurs = |
| Transporteur | 1/2 = Normal
1/2 = transporteurs |
1/4 = Normal
1/2 = transporteurs 1/4 = Affectés |
1/2 = transporteurs
1/2 = Affectés |
| Affecté | Tous les transporteurs = | 1/2 = transporteurs
1/2 = Affectés |
Tous = touchées |
Comment vous pouvez participer …
Le test NARC se fait sur un petit échantillon de sang obtenu par votre vétérinaire. Cela permet à la plus faible risque de contamination de l’échantillon et de l’assurance ajoutée d’un match de l’échantillon avec le chien identifié.
Lire et imprimer les instructions sur la page de démonstration de navires. Ensuite, remplissez le formulaire de demande d’essai.Soumission en ligne du formulaire de Demande d’essai vous permet d’être sûr des informations précises et orthographes correctes sont mis dans la base de données. Et, lorsque vous avez terminé un formulaire, un deuxième formulaire de demande d’essai pour un autre chien ou pour une litière est facile et vous fait gagner du temps.
Une demande de brevet pour la technologie sous-jacente de ce test a été déposée et OptiGen a obtenu une licence exclusive pour elle de l’Université de Stanford.
Dog Tired?
Cet article a été publié dans Nouvelles Dog, Le Recueil de chiens américains, le volume 16, numéro 25 le 23 Juin 2000 et est reproduit ici avec la permission de Mary M. Woodsen & Nouvelles Dog.
Lorsque Emmanuel Mignot MD, Ph.D., spécialiste des troubles du sommeil à l’école de médecine de l’Université de Stanford, a décidé de démêler la cause d’une condition qui accable 1 dans chaque 2000 personnes, en journée « attaques de sommeil, » il se tourna vers le meilleur ami de l’homme -et en particulier Dobermann, Labrador Retriever, et teckels. Ces chiens, aussi, peuvent souffrir de narcolepsie. Mignot savait qu’une fois qu’il a trouvé la cause de la narcolepsie chez les chiens, il serait beaucoup plus près de comprendre comment fonctionne la maladie chez les humains et comment la traiter.
Chez les chiens, la narcolepsie est souvent héréditaire. Le gène muté qui provoque il est récessif, ce qui signifie que si un barrage et père sont tous les deux transporteurs, un quart de leurs chiots aura la maladie et la moitié sera transporteurs. Les chiens atteints sont souvent décrits comme tombant droit endormis dans leurs traces, mais qui est pas tout à fait le cas. En effet, ils perdent tout à coup le contrôle de leurs pattes de derrière, ou même effondrement complet, branche-engourdissant paralysie mais ils sont entièrement conscients de leur environnement et peuvent suivre les choses avec leurs yeux. Attaques durent quelques secondes ou une minute ou deux, hauts; puis le chien est à nouveau et émouvant, sans somnolence résiduelle, aucune indication que les choses étaient toujours mal.
En fait, une attaque de narcolepsie reflète ce qu’on appelle le sommeil paradoxal. REM signifie Il est le genre de sommeil que nous-chiens et les gens vont dans les deux-quand nous rêvons « rapid eye movement. »: Et nous rêvons tous, si nous nous souvenons ou non. Nos yeux se déplacent rapidement que nous rêvons, mais nos muscles deviennent atone: ce qui est; ils sont complètement mou; ils ont pas de tonalité. Bien que nous puissions contracter ou secousse, les muscles eux-mêmes sont incapables de contrôle, mouvement coordonné. Si quelque chose nous éveille à la mi-rêve, nous pouvons nous sentir paralysé.
Normalement, lorsque nous dormons, nous commençons doucement « non-REM » sommeil: nos muscles sont partiellement détendu, nos ondes cérébrales sont modulés. Comme la nuit porte sur le cycle de nous va et vient entre sommeil paradoxal et le sommeil non-REM, et si nous avons la quantité requise et la proportion de fois nous réveiller sensation de fraîcheur.
Mais les gens-et-chiens atteints de narcolepsie sont à court changé sur le sommeil paradoxal. Donc, toute la journée longue, leurs corps essaient de faire pour elle. Voilà pourquoi les attaques sont souvent constituées de la cataplexie: la sensation paralysante de l’atonie partielle ou complète (pas de tonus musculaire, comme dans le sommeil paradoxal), et souffrant slump soudainement au sol, incapable de communiquer tout encore complètement conscient. (Narcolepsie est entièrement différente de ces maladies sur la base de saisie-que l’épilepsie, où les muscles deviennent serrés, voire rigide, et la conscience est floue.)
Laissez le chat qui dort
Parfois, un chien peut glisser dans le sommeil de la paralysie, tout comme les narcoleptiques humains ont tendance à faire.Chiens narcoleptiques sont somnolent que les chiens normaux pendant la journée et ont tendance à somnoler plus fréquemment que les chiens normaux. Mais les chiens sont nappers notables, les dépenses d’environ 30% de leurs heures de la journée snoozing. Il est pas toujours facile de dire quand ils somnoler et lorsque la narcolepsie a débuté. Puis à nouveau, il se peut que les personnes atteintes de narcolepsie simplement amasser un déficit sommeil paradoxal augmente à chaque nuit que les chiens le font, et ne relèvent en fait plus souvent endormi Par conséquent. En tout cas, la somnolence est habituellement moins un problème que ne le sont la paralysie musculaire (cataplexie) des attaques.
Narcolepsie montre généralement dans puppyhood, dès âge de quatre semaines, et certainement au moment où un chien est âgé de six mois. La fréquence est extrêmement variable. Les attaques peuvent se produire une fois une année-ou une centaine de fois par jour. Pour les chiens gravement touchées, les attaques sont prévisibles, mais pour modérément touchées chiens-vous ne savez jamais. Il est même possible que certains chiens légèrement touchées ne sont jamais diagnostiqués, parce que les attaques sont si peu fréquentes et de courte durée que personne ne les observe jamais. Habituellement, la narcolepsie est plus sévère au cours des premières années d’un chien. Mais si elle adoucit souvent avec l’âge, il va jamais vraiment loin.
À ce jour, les traitements pour la narcolepsie chez les chiens sont parallèles à ceux pour les humains. Les vétérinaires peuvent prescrire des antidépresseurs, les stimulants, ou les extraits de yohimbe, un botanique africaine a également utilisé comme aphrodisiaque. Mais indépendamment de la source, les traitements font généralement chiens hyper, et la plupart des propriétaires préfèrent-comme-il était de laisser le chat qui dort.
Donner un os au chien
Curieusement, il est stimuli agréables qui apportent sur les épisodes de narcolepsie. Chez les chiens, le temps chow est temps de choix pour une attaque. Donner un chien atteint un os et en quelques secondes il est sur le sol. En fait, tout le temps heureux passionnante peut apporter sur le retour de l’attaque-propriétaire après une longue journée de suite; le temps de jeu avec les autres chiens: une expérience nouvelle ou stimuler.
Bien que d’un épisode peut intenter une chien affecté écraser à la terre à la mi-lié, il ya pas de risque réel pour la santé associée à la narcolepsie. Il est pas un prélude à d’autres maladies, ni est-il lié à tempérament ou la longévité. À propos le seul danger dans la narcolepsie serait si le chien est au mauvais endroit au mauvais moment faire la chose-dire de mal, chassant un ballon dans une rue animée. Ce qui bien sûr pas propriétaire de conscience permettrait en premier lieu.
Variable comme la narcolepsie est chez les chiens, il se résume généralement à une seule récessive, le gène défectueux. En fait, faire que deux, parce que, pour être affecté à la narcolepsie héréditaire, un chien doit avoir deux copies défectueuses de ce gène-un de chaque parent. En d’autres termes, chacun des parents doit être soit un support ou affecté. Mais jusqu’à Mignot trouvé le gène (appelé récepteur de l’hypocrétine 2 ou Hcrtr2), il n’y avait aucun moyen de savoir ce qui les chiens étaient porteurs.
Le sommeil paradoxal, l’exubérance, la joie dans la nourriture savoureuse, le tonus musculaire, ce sont tous les Etats qui commencent dans le cerveau. Dans le cerveau, différentes constellations de neurones-kazillions de neurones! -Y At cesse de nous zinging messages qui disent-selon le moment de la journée, les besoins de notre corps, et les choses qui se passent autour de US- « profitez-en! dormir! jouer! manger! « Mais ces neurones ne feu lorsqu’il est provoqué par des molécules de neurotransmetteurs porteur d’un message. Et chacune de ces molécules émettrices ne peut transmettre son message si elle peut ajuster correctement en molécules de récepteurs spécifiques de l’émetteur qui sont assis sur certains types de neurones.
Le gène Hcrtr2 produit un récepteur dans le cerveau de signaux qui se déclenche chaque fois que les molécules du neurotransmetteur hypocretin cliquer dedans. Ce récepteur lie aux neurones qui contrôlent les émotions, le sommeil paradoxal et le tonus musculaire. Chez les chiens narcoleptiques Hcrtr2 est défectueux et le récepteur est biaisée.
Bien sûr, beaucoup d’autres gènes affectent le plaisir, l’exubérance, le sommeil paradoxal, et le tonus musculaire qui est pourquoi il ya une telle variation de la fréquence des épisodes. Mais les chiens touchés effondrement souvent à la première charge d’excitation.
L’épreuve du temps
Qu’est-ce qui le gène défectueux, et comment faut-il effectivement causer la narcolepsie? Quelque part dans l’histoire Doberman, un morceau de l’ADN obtenu oddball branché dans Hcrtr2. Dans Labs, un morceau de l’ADN dans ce même gène obtenu poinçonné. Pour les deux races, l’effet est le même gène biaisée fait un récepteur malformé qui ne se déclenche pas lorsque certains neurotransmetteurs appuyez sur la gâchette. Maintenant que ce gène défectueux peut être identifié, un test fiable pour la narcolepsie est disponible qui identifie les transporteurs et affecteds avec certitude au Labrador Retrievers et dobermans.
Tests pour teckels (et bientôt, car les caniches et les Beagles) sont également disponibles. Mais la cause de la maladie dans ces races est parfois en question. Souvent, il est héréditaire, et si oui, le gène fautif est que même Hcrtr2; le test sera divulguer transporteur et le statut affecté. Mais a parfois narcolepsie autres, les causes les plus-moins bien compris susceptibles d’origine environnementale. Narcolepsie chez les chiens et les gens qui ne sont pas clairement liée à un gène est appelée narcolepsie sporadique. (La plupart des narcoleptiques humains ont la forme sporadique.)
Le test narcolepsie est simple et directe; mais il nécessite un petit échantillon de sang. Ce test est parmi un nombre croissant de tests pour diverses maladies canines maintenant offertes aux éleveurs avertis qui utilisent eux, de ne pas éliminer autrement excellents transporteurs et affecteds, réduisant ainsi le pool génétique de leur race, mais d’inclure tous les chiens dignes dans les programmes « d’élevage de sécurité » . Pour les éleveurs qui savent ou soupçonnent qu’ils ont la narcolepsie dans leurs chenils, ce test pourrait sauver leurs lignes de sorte qu’ils ne doivent pas recommencer.
On ne sait pas quel est le pourcentage de chiens est touchée par la narcolepsie. Ce sera le « test du temps, » appris que les chiens sont testés. Juste il semble maintenant que la maladie ne soit pas très commun. Mais il est important d’avoir des tests disponibles pour les maladies qui, tout en ne fréquente maintenant, pourraient devenir plus fréquentes dans les années à venir.Les éleveurs peuvent avoir de bonnes raisons de choisir et (ou support) pères et mères touchées élevage. Ils peuvent avoir besoin de les utiliser pour pointer vers le haut d’autres traits ou favorisées pour éviter encore d’autres maladies héréditaires.Lorsque cela se produit, ce test est là pour eux.
Université de Stanford a choisi OptiGen d’être le fournisseur exclusif de ce test.
TEST pendant Hérité rétine dysplasie / OSD Labrador Retrievers et Samoyeds
Dysplasie de la rétine / OSD Contexte de la maladie: les plis de la dysplasie de la rétine rétinienne (RD) est une observation clinique courante dans de nombreuses races de chiens. Depuis de nombreux plis rétiniens sont bénignes et de l’héritabilité inconnue, ophtalmologistes vétérinaires conseillent souvent que les chiens souffrant RD élevage est une option acceptable.Cependant, dans deux races, le Labrador retriever et le Samoyède, RD est beaucoup plus préoccupante. RD dans Labradors et Samoyeds causera un chien à l’échec à un examen du CERF, l’examen annuel recommandé d’oeil ce qui se fait en Amérique du Nord par les ophtalmologistes vétérinaires certifiés, des diplomates de l’American College of Veterinary Ophthalmology (ACVO).Dans de tels cas, l’élevage est pas conseillé parce RD dans ces races peut être une indication que le chien est un porteur d’un syndrome appelé OSD grave hérité (OculoSkeletal dysplasie). OSD est un état grave dans lequel les chiens montrent une variété de malformations du squelette, y compris les membres de raccourcis (nanisme), et la cécité à un âge précoce; les résultats de la cécité d’une malformation généralisée de la rétine qui provoque un détachement de la rétine et la cataracte partielle ou totale.
Mutations RD / OSD identifiées: Après des recherches approfondies dans les laboratoires des Drs. Greg Acland et Gus Aguirre, des diplomates et des enquêteurs ACVO génétiques à l’Université Cornell et l’Université de Pennsylvanie, les mutations responsables de l’OSD dans le Labrador retriever et Samoyède ont été identifiés. Ce travail, qui a bénéficié à ses débuts de l’appui par la Morris Animal Foundation, a abouti à un test d’ADN qui identifie si un chien n’a pas de copie (est normal), a 1 exemplaire (est un transporteur) ou a 2 copies de la mutation (est touché). Ce test ADN sera très utile aux éleveurs qui ont besoin de se prononcer sur toutes les préoccupation que OSD joue un rôle dans le diagnostic de RD de leur chien. Le test permettra également l’identification des porteurs «silencieux» de l’OSD où aucune RD est observée. Un manuscrit décrivant les mutations RD / OSD et leur signification physiologique est en préparation (Goldstein et al.).
Héritage du RD / OSD: Il a été connu depuis de nombreuses années que les transporteurs de l’OSD ont souvent plis de dysplasie rétinienne rétiniennes et que lorsque deux transporteurs de l’OSD sont élevés, un quart de leur litière, en moyenne, sont rabougris et aveugle. Ce mode de transmission, ainsi que la répartition égale de la maladie chez les mâles et les femelles, ont indiqué qu’il y avait un seul gène responsable de la maladie et qu’il était autosomique (ie que le gène était pas sur le chromosome X).Cependant, contrairement à de nombreux autres tests d’ADN qui OptiGen propose des mutations autosomiques, la mutation de l’OSD est pas « simple » récessif. Parce que les transporteurs présentent généralement les symptômes de la RD-on peut interpréter cela comme une expression « mild » ou partielle de l’OSD dans le Carrier. Deux copies de la mutation de l’OSD produisent une expression «grave» ou complète de nanisme et la cécité OSD-dire. Une autre façon de décrire ce type d’héritage est « autosomique dominant avec une pénétrance incomplète» ou «dominance incomplète ».
OptiGen Test ADN pour Hérité RD / OSD: Un brevet pour ces tests appartenant à Cornell Research Foundation qui a accordé OPTIGEN droits permanents et exclusifs pour faire le test immédiatement à la disposition du public. Le test d’ADN RD / OSD identifier les chiens comme étant normal, Carrier, ou affectées avec OSD. Il est prévu que la plupart, mais pas tous, transporteurs devront montrer significative pliage de la dysplasie de la rétine rétinienne. Comme plus de chiens sont testés, nous allons acquérir une meilleure compréhension de la façon dont les transporteurs communs « silencieuses » sont (c. transporteurs qui manquent de plis rétiniens) dans la population générale. Nous serons également en mesure de gagner la compréhension de ce pourcentage de RD dans les Labradors et Samoyède est due à l’OSD. Il est dans le but de mieux comprendre cela et d’autres maladies oculaires que les formulaires de commande OptiGen comprennent la demande de CERF ou autre information clinique ophtalmologique record. Si le chien a une histoire des examens oculaires anormaux, OptiGen apprécie également recevoir une copie de l’examen avec le bon de commande. Ces enregistrements grandement aider à faire progresser la recherche dans la génétique des maladies oculaires canine.
Suggestions pour la mise en œuvre du test de RD / OSD: Si un labrador retriever ou Samoyède est identifié avec focale ou dysplasie de la rétine multi-focale (plis rétiniens) lors d’un examen de la vue par un diplomate ACVO, actuellement le chien n’a pas droit à la certification dans le CERF Registre. Dans ce cas, le test ADN OptiGen permettra de déterminer si les plis sont causés par la mutation responsable de l’OSD. Un résultat OSD NORMAL indique que les plis de la rétine ne sont pas causés par la mutation de l’OSD et de représenter les plis fréquents bénignes focaux / multi-focaux rétiniennes trouvés dans ces et d’autres races. Si la présence de focale ou dysplasie de la rétine multi-focale (plis rétiniens) est pas associé à la mutation RD / OSD, puis le chien est considéré comme indemne d’une maladie héréditaire de l’œil majeur. S’il vous plaît noter que ces commentaires se réfèrent uniquement à la dysplasie multi-focale reitnal / focale (plis rétiniennes). Dysplasie de la rétine géographique peut représenter une autre, peut-être héréditaire, la maladie.
Certification du CERF pour Labradors ou Samoyèdes avec Retinal Folds: Les conseils de reproduction pour les Labrador Retrievers et Samoyeds diagnostiqués avec «dysplasie de la rétine – plis » sera changé de «No» à «l’option Breeder » si le propriétaire du chien fournit le bureau du CERF avec les résultats du test d’ADN pour le chien affecté, montrant qu’il est pas un porteur de la mutation dysplasie oculoskeletal (OSD).
| RD / OSD stratégies de sélection de test et les résultats pour les labradors et Samoyeds | |||
| RD / OSD
Génotype (DNA Résultat du test) |
RD-pli / OSD
association |
Importance pour la reproduction | Possibilité de produire OSD-
chiots affectés |
| Homozygote
(Normal) |
Aucun | Si RD-pli est observée, elle est pas
en raison de l’OSD. Consulter ophtalmologiste; élevage du chien est susceptible d’être une option. |
Aucun |
| Hétérozygote
(Transporteur) |
RD probable, mais
pas toujours observé |
Devrait être élevés qu’à génétiquement
Normale compagnon OSD / RD pour supprimer risque de produire des chiots OSD touchées. |
Extrêmement probable si élevé pour un
OSD-Carrier ou un OSD touchés accoupler; si élevés pour un OSD génétiquement Compagnon normal, les transporteurs avec RD sont susceptible d’être produite. |
| Homozygote
Mutant (Visé) |
OSD touchés
(Sévère OculoSkeletal défauts observés à un âge précoce) |
Devraient pas être élevés. | Toutes les portées sont très susceptibles de contenir
chiots avec RD ou OSD sévère. |
Avantages et limites à tous les tests génétiques: Beaucoup Labrador retriever et éleveurs samoyèdes ont déjà fait appel aux services de OPTIGEN de tester leurs chiens pour d’autres maladies, par exemple pour les types de PRA qui se produisent dans ces races, et ils sont conscients de l’avantage que les tests génétiques offre. Avec les pratiques d’élevage informés, les éleveurs peuvent immédiatement éviter de produire des chiens qui sont touchés par des maladies spécifiques. Depuis le dépistage génétique peut être fait à tout âge, le statut génétique de chaque chien peut être connu avant même les signes cliniques de la maladie sont reconnus. Au cours de plusieurs générations de sélection à une distance à partir du gène de la maladie, les éleveurs peuvent éliminer un gène de la maladie complètement à partir de leur ligne.
MAIS, il ya des limites de base pour tous les tests génétiques. Tout test d’ADN est seulement en mesure d’identifier un changement spécifique dans l’ADN (par exemple une mutation) qui est testé. Par exemple, le test ADN prcd-PRA détecte une mutation spécifique du gène prcd et le test XL-PRA détecte une mutation spécifique d’un gène différent. Les deux mutations provoquent PRA mais les tests ADN ne peuvent détecter le type spécifique de mutation pour lequel il est conçu. Le test PRA pour l’Labrador (prcd-PRA) est différente de celle du test PRA pour l’Samoyède (XL-PRA). De même, le test RD / OSD identifier la mutation spécifique qui provoque RD dans le transporteur et OSD sévère dans le concerné; il ne sera pas identifier les autres formes de RD qui peuvent se produire.
Source OPTIGEN
LA DYSPLASIE COXO-FEMORALE
C’est un trouble du développement de l’articulation coxo-fémorale.
Cette anomalie se constitue au cours de la croissance du chiot et affecte les races lourdes à croissance rapide.
Malgré une sélection qui consiste à n ‘accoupler que des géniteurs côtés A, B ou C après un examen radiologique (sachant qu ‘il est recommandé d ‘accoupler un C avec un A ), des études ont montré que ce trouble n ‘était pas qu ‘héréditaire.
La nourriture et l’environnement où évolue le chiot pendant sa croissance, jouent également un rôle important.
• A aucun signe de dysplasie
• B presque normal
• C moyen
• D sévère
• E très grave
Alors comment l’éviter ?
¨ Ne pas rendre votre chiot obèse.
¨ Pas de nourriture trop riche en protéine ni trop abondante.
¨ Pas d’exercices violents ou intensifs avant au moins ses un an. Par contre, il peut nager.
¨ Eviter les escaliers continuels et les carrelages trop glissants.
¨ Eviter aussi les surdosages de calcium et vitamines.
Si vous voulez pratiquer une radio de dépistage de la dysplasie coxo-fémorale, faites le faire chez votre vétérinaire vers un an.
Ensuite, il faut l’envoyer au « RETRIEVER CLUB DE France »
DEPISTAGE DE DYSPLASIE DE LA HANCHE
Protocole pour la radio de dysplasie coxo-fémorale
Faire pratiquer une radiographie par le vétérinaire
L’age minimum du chien doit être 12 mois
Doivent être notées au stylo indélibile les indications suivantes sur la radio :
– Le numéro de tatouage ou de puce
– La race
– Le nom
– La date de naissance
– Les mentions « Droite » et » Gauche »
– Le nom de vétérinaire
– Et, surtout, la date de la radio
Puis adresser au secrétariat du RCF un dossier avec les pièces notées ci-dessous :
1. la radio identifiée
2. la photocopie du Certificat de naissance ou Pedigree
3. la photocopie de la carte de tatouage ou de puce
4. une grande enveloppe à votre adresse suffisamment affranchie pour le retour de la radio
5. un certificat du vétérinaire attestant du tatouage ou la puce et en précisant avec ou sans anesthésie, ou tranquillisant (spécifier les produits utilisés)
6. et un chèque (voir RCF)
une lecture officielle sera effectuée par un docteur vétérinaire agréé par le club.
Certificat en trois exemplaires
1. pour le club
2. un pour vous
3. un pour lui -même
UNE CHOSE EST SURE, IL EST IMPOSSIBLE DE GARANTIR UN CHIOT SANS DYSPLASIE .
Nous oeuvrons afin de l’éviter en ne reproduisant que des chien indemmes de dysplasie (A ou B )
DEPISTAGE RADIOGRAPHIQUE DE LA DYSPLASIE DU COUDE
Le dépistage radiographique de la dysplasie du coude nécessite trois clichés par coude
1. un clichés incidence média latérale, coude fléchi a 45°, les deux condyles huméraux étant parfaitement superposés (profil en hyper flexion)
2. un clichés en incidence médio latérale, coude en extension ,les deux condyles huméraux étant là encore parfaitement superposés ( profil en extension)
3. un dernier cliché en incidence crânio- caudale latéro-médiale oblique a 25°, obtenue par une rotation vers l’intérieur de 25° par rapport à l’incidence de face
l’identification des radios doit comprendre
• le nom du chien
• sa race
• son sexe
• son tatouage ou n° de puce
• sa date de naissance
• la date de prise de la radio
• le non du vétérinaire
• et le côte (droite ou gauche )
elle peuvent être faite en même temps que les radio de dysplasie et envoyer au club de même.
LES TARES OCCULAIRES
Elles peuvent affecter toutes les races de chien.
Ce sont des affections héréditaires qui n ‘ apparaissent parfois que très tard dans la vie d ‘un chien (7,voire 9 ans).
C’est pourquoi, contrairement au certificat de dépistage de la dysplasie coxo-fémorale qui est à vie, cet examen oculaire doit être renouvelé tous les ans pour les labradors reproducteurs.
L’Atrophie Progressive de la Rétine ou APR ou PRA
Carol Hanson, éleveuse d’English Cocker Spaniel sous l’affixe « Du Domaine d’Haisha » l’autorisation de publier des extraits des articles suivants. Qu’elles en soient remerciées ! Vous pouvez retrouver les textes originaux aux adresses suivantes :
http://domainehaisha.com/cocker/textes/francais/sante/apr.html
http://www.domainehaisha.com/cocker/textes/francais/sante/Optigen.htm
http://www.domainehaisha.com/cocker/textes/francais/sante/Optigen_pourquoi.htm
Article récapitulatif par Carol Hanson & Sandrine Chichilianne (La Gloriette d’Artemis)
L’Atrophie Progressive de la Rétine ou APR ou PRA
Definition et explications
L’Atrophie Progressive de la Rétine est une maladie de l’oeil qui touche énormément de races, à plus ou moins grande échelle (exemples : Welsh corgi, Sloughi, Setter irlandais, Siberian Husky, Samoyède, Mastiff, Braque allemand, etc.).
Nous allons ici aborder la forme d’APR la plus courante chez le labrador , la prcd PRA (Progressive Rod Cone Degeneration).
La maladie génétique prcd-PRA provoque la dégénérescence et la mort des cellules de la rétine, à l’arrière de l’oeil, même si ces cellules semblaient se développer normalement plus tôt dans la vie du chien. Les cellules « rod » travaillent à des niveaux de lumière basse et sont les premières à perdre leurs fonctions normales. Il en résulte une cécité nocturne. Ensuite les cellules « cone » perdent petit à petit leurs fonctions normales dans des situations de pleine lumière. La plupart des chiens affectés deviendront aveugles. La maladie génétique prcd-PRA provoque la dégénérescence et la mort des cellules de la rétine, à l’arrière de l’oeil, même si ces cellules semblaient se développer normalement plus tôt dans la vie du chien. Les cellules « rod » travaillent à des niveaux de lumière basse et sont les premières à perdre leurs fonctions normales. Il en résulte une cécité nocturne. Ensuite les cellules « cone » perdent petit à petit leurs fonctions normales dans des situations de pleine lumière. La plupart des chiens affectés deviendront aveugles. Les deux yeux sont toujours affectés. La rétine est la membrane qui forme la doublure du fond de l’oeil et qui est composée de cellules sensibles à la lumière. Ces cellules meurent progressivement et c’est ce qui cause la perte de la vision dont le premier signe est la cécité nocturne. Une cataracte se développe parfois en même temps que la maladie.
Quel effet la PRA aura-t-elle sur le chien ?
Comme déjà exposé, la PRA cause, à plus ou moins long terme, la cécité totale. Cependant, la maladie est complètement indolore et beaucoup de chiens s’accoutument à leur perte de vue et dans certaines circonstances, peut-être avec quelques mots supplémentaires de commandement, peuvent mener une vie parfaitement heureuse. L’ouïe et l’odorat du chien étant très développé, ces deux sens compenseront la perte de la vue.
Existe-t-il quelque forme de traitement ?
Non, il n’y a pas de traitement connu qui ralentit, arrête ou renverse la perte de vue progressive. Cependant, les chiens de compagnie apprennent souvent à se débrouiller avec leur cécité en connaissant bien leur entourage et le propriétaire peut aider en ne compliquant pas inutilement la vie de son chien en laissant des objets en dehors de leur emplacement habituel. Un grand défi pour le vétérinaire (comme pour le médecin) reste le traitement des dégénérescences rétiniennes. Ces dégénérescences rétiniennes ou atrophies rétiniennes sont très fréquentes dans de très nombreuses races de chien. La recherche sur les greffes de rétine semble ne pas avoir apporté les résultats escomptés. C’est donc du côté de la thérapie génique que l’on se tourne. Le but est de remplacer le gène ou les gènes responsables de la maladie, puis d’identifier clairement les molécules impliquées dans les processus pathologiques. L’avenir est donc dans la thérapie génique ; mais dire cela n’est pas très original : n’est-ce pas la direction vers laquelle s’oriente aujourd’hui la clinique toute entière ?
Existe-t-il quelque moyen d’éviter que le chien soit atteint ?
Non ! Cette maladie est héréditaire Si votre chien porte les gènes responsables, alors elle se développera en dépit de n’importe quelle nourriture spéciale ou traitement.Malheureusement, il n’existe actuellement aucun traitement ou remède contre l’APR.
Quel est son mode de transmission ?
C’est un mode de transmission héréditaire, de façon autosomale récessive. La prcd-PRA est héréditaire de manière récessive. Cela signifie que le gène de la maladie doit être porté par les deux parents pour causer la maladie dans la descendance. Les parents doivent être soit « porteurs » ou affectés. Un porteur a le gène de la maladie et une gène normal, et est appelé « hétérozygote » pour la maladie. Un chien normal n’a pas de gène de la maladie et est appelé « homozygote normal », les copies du gène sont identiques. Et un chien avec deux gènes de la maladie est nommé « homozygote affecté », les copies du gène sont anormales. Il a été prouvé que toutes les races ayant été testées pour la prcd-PRA ont la même maladie causée par le même gène mutant. C’est le cas même si la maladie peut se développer à des âges différents ou a des degrés différents d’une race à l’autre.
Schéma du mode de transmission des maladies héréditaire sur le mode autosomal récessif
Génotype Parent 1 Génotype Parent 2
Exempt Porteur sain Atteint
Exempt Tous = Sains 1/2 = Sains
1/2 = Porteurs sains Tous = Porteurs sains
Porteur sain 1/2 = Sainsµ
1/2 = Porteurs sains 1/4 = Sains
1/2 = Porteurs sains
1/4 = Atteints 1/2 = Porteurs sains
1/2 = Atteints
Atteint Tous = Porteurs sains 1/2 = Porteurs sains
1/2 = Atteints Tous = Atteints
Attention : Les proportions dans un cas où plusieurs résultats sont possibles pour une même portée sont purement théoriques … Elles sont basées sur les proportions d’ovules fécondés, pas sur les proportions de chiots nés … Dans un cas où par exemple c’est 1/2 sains, 1/2 porteurs sains, il ne serait pas impossible d’avoir 100 % de sains ou au contraire 100 % de porteurs sains…
L’APR et l’élevage
Face à cette maladie sournoise, les éleveurs étaient jusqu’il y a peu impuissants, car : – Etant donné que l’APR se déclare tardivement chez le labrador(âge moyen 7 – 8 ans, parfois même plus), certains sujets pouvaient avoir produit quantité de chiots, et donc leur avoir transmis le gène de la maladie, avant de déclarer eux-mêmes la maladie. Le test annuel était jusqu’alors le seul moyen de contrôle, et la meilleure des choses à faire était alors de retirer le chien de la reproduction s’il déclarait la maladie… Mais quid des portées antérieures et de la propagation dans la lignée ? Les éleveurs n’avaient malheureusement pas d’autre choix.
De même, toujours vu le déclenchement tardif de la maladie, le chien pouvait très bien être décédé d’autre chose avant d’avoir déclaré la maladie… Certains chiens seraient donc décédés sans même que l’on sache qu’ils étaient porteurs… Dans les deux cas, ces chiens auraient eu un test annuel normal, donc auraient été déclarés tout à fait sains pendant plusieurs années, alors qu’ils allaient développer une APR plus tard.
Nous verrons plus loin que les porteurs sains occupent une place importante dans la propagation de l’APR dans la race … En effet, comment détecter les porteurs sains ? La seule possibilité était jusqu’alors d’examiner la descendance des chiens, pour autant qu’on ait un échantillon significatif (ce n’est pas sur 20 chiots produits par un même chien que l’on peut objectivement examiner cela, mais plutôt sur 200). Il fallait donc recenser les cas d’APR déclarée dans la progéniture, en déduire que les deux parents étaient au moins porteurs, et travailler en fonction de cela, tout en sachant que les années passent, et que le temps que l’on trouve par de telles déductions que tel mâle ou telle femelle était porteur d’APR, les lignées en question en étaient déjà à deux ou trois générations plus loin, toujours à cause de ce problème de déclenchement tardif de la maladie… Et deux ou trois générations de plus travaillées « à l’aveuglette » (c’est le cas de le dire).
Les moyens de dépistage
Le test annuel de l’APR (ou tous les deux ans selon les pays)
Ce test n’est obligatoire ni en Belgique, ni en France, mais l’est en Allemagne, Pays-Bas, Scandinavie,… si on désire faire participer le chien en question à la reproduction.
désire faire participer le chien en question à la reproduction. Valable uniquement s’il est réalisé par un vétérinaire spécialisé en ophtalmologie, et authentifié au moyen d’un certificat officiel. Les certificats sont très différents et plus ou moins complets selon les pays. Les plus complets sont ceux reconnus par l’ECVO (European College of Veterinary Ophtalmologists http://www.ecvo.org)
Pour obtenir la liste de vétérinaires officiels en France, rendez vous sur le site de la Société Centrale Canine et du Spaniel Club Français. Pour obtenir cette même liste en Belgique, adressez vous à la Société Royale Saint-Hubert. (Vous ne trouverez pas forcément la liste des vétérinaires sur leurs sites, mais leurs sites vous permettra de les contacter pour obtenir celle-ci).
undus (fond d’oeil) d’un chien normal et d’un chien atteint d’APR à différent stades.
Ce type de test permet de dépister notamment : le distichiasis, la persistance de la membrane pupillaire, les cataractes, l’atrophie progressive de la rétine, l’entroption, l’ectroption, etc etc Pour ce faire, il est nécessaire que la pupille soit complètement dilatée (au moyen de gouttes spécifiques et d’une attente d’au moins 20 minutes). Le vétérinaire utilisera une lampe à fente et un ophtalmoscope. Pour l’examen du fond d’oeil, le test est réalisé dans l’obscurité.
Pour l’APR (ainsi que la cataracte), en cas de test négatif, le certificat mentionne que le chien est actuellement indemne pour cette maladie.
Le test est valable un an en Belgique, Allemagne, etc et deux ans en France…
L’electrorétinogramme ou ERG
L’electrorétinogramme ou ERG est fait sous anesthésie légère et on mesure la réactivité de l’oeil face à des flashes lumineux blancs (vision diurne) ou bleus (vision nocturne).
Des électrodes sont fixées aux paupières et les réactions de l’oeil sont transcrites par un appareil sous forme de courbe. A l’inverse du test APR, il n’a besoin d’être fait qu’une seule fois, à moins qu’il se révèle douteux, et est considéré définitif beaucoup plus tôt que le test APR par le Spaniel Club français. (entre 18 et 24 mois. L’inconvénient principal étant l’anesthesie et par conséquent le coût plus important, il faut compter environ 110€ pour l’examen, auxquel se greffe les frais d’anesthesie et parfois de consultation.
Tout comme le dépistage annuel, ce test permet de mettre en évidence d’autres maladies comme le distichiasis, la persistance de la membrane pupillaire, les cataractes, l’atrophie progressive de la rétine, l’entroption, l’ectroption, etc.
Rapport d’examen ERG occulaire type en France.
Les tests génétiques
A/ Le test Optigen
En janvier 2003, le laboratoire américain Optigen a commercialisé un test de dépistage de la prcd-PRA chez le labrador dont la fiabilité est très proche des 100%.
Le test Optigen prcd est effectué sur un petit échantillon de sang du chien. Actuellement, le test analyse les marqueurs ADN plutôt qu’une mutation (des recherches sont en cours pour développer un test sur la mutation). Cela signifie que le chien est identifié par une « empreinte digitale » de marqueurs sur le chromosome 9, à côté du gène prcd, plutôt que de tester directement la mutation prcd elle-même. Le résultat de ce test est un génotype ou « empreinte digitale » qui permet de séparer les chiens en 3 groupes : génotype A, B ou C et pour certaines races : génotype A1, B1 ou C1.
|
|||||||||||||||||||||||||||||
| A partir de là, on pouvait dès lors en déduire des stratégies d’élevage, très intéressantes car elles permettent de ne plus produire de chiens « C1 » = sujets qui seront tôt ou tard affectés par la prcd-PRA. | |||||||||||||||||||||||||||||
|
|||||||||||||||||||||||||||||
Ce tableau indique en grisé foncé tous les mariages préférés, qui incluent au moins un parent A ou A1. Tous les autres mariages constituent un risque de produire des chiots C ou C1, qui ont une grande probabilité de développer la prcd. Toutefois, tous les chiens peuvent servir à l’élevage. Il n’est pas nécessaire, ou même désirable, de retirer des chiens de la population d’élevage. Mais au moment de choisir les chiots à retenir comme sujets d’élevage, il est important de préférer des chiens A ou A1 à des chiens C ou C1.
Statistiques des chiens testés (données datant de septembre 2004)
Au 7 septembre 2004, voici les statistiques Optigen des résultats selon les pays (Les pays sont groupés car Optigen ne veut pas donner de statistiques trop « individuelles » pour éviter d’essayer de trouver les chiffres et de savoir « qui a fait quoi », question de confidentialité…).
Inconvénients du test Optigen :
– Le coût : Même avec les réductions possibles en cas de « clinique » (une clinique est l’envoi, groupé ou non, d’au moins 20 échantillons sanguins qui doivent arriver la même semaine chez Optigen ou chez leur labo partenaire VHL aux Pays-Bas), le coût reste élevé : 195 $ (soit +/- 150 €, le prix variant selon le cours du dollar) par chien.
– Fiabilité : Comme c’est un test basé sur un marqueur et non sur la mutation génétique elle-même, il est fiable à « seulement » 99 %.
– Barrière linguistique : Il peut paraître difficile, voire « inaccessible » pour certains d’accomplir les démarches du test, vu que toute la documentation d’Optigen est en anglais …
Cliquer sur l’image
pour voir la notice (PDF)
du Test ADN pour dépister l’atrophie progressive de la rétine (APR) forme prcd Septembre 2006
Certificat du test Optigen standard (A1 dans le cas présent)
B/ Le test Antagène
Le laboratoire ANTAGENE est spécialisé en génomique animale et travaille depuis 3 ans sur les maladies génétiques les plus graves pour la santé ou le bien-être du chien ou du chat. Le principal objectif est de mettre au point et de commercialiser des tests ADN fiables pour dépister ces pathologies héréditaires.
Antagène, en collaboration avec le CNRS de Rennes, a continué les recherches sur le gène porteur de la maladie, à l’inverse du laboratoire Optigen qui base la révélation des porteurs ou des atteints sur des marqueurs. Antagène annonce avoir trouvé le gène responsable chez le cocker anglais de l’APR (déjà trouvé et pratiqué sur d’autres races) ainsi la fiabilité passerait à 100% et la commercialisation de ce test serait imminente, prévue pour le courant 2005. A noter,
Le test se réalise par frottis bucal et non par prise de sang ce qui est moins contraignant et qui comporte un coût financier restreint puisqu’ils fournissent le kit complet (cytobrush stérile, tube avec de l’éthanol) qui est compris dans le prix. Pour cela, il suffira de télécharger et remplir un bon de commande disponible sur le site www.antagene.com Le prélèvement doit se faire par un vétérinaire qui remplira un certificat de prélèvement fourni par le laboratoire Antagène. Le déroulement du prélèvement est simple, il s’agit de frotter l’intérieur de la joue pour obtenir des fragments de tissus, l’animal ne devra pas avoir mangé ou bu depuis au moins une demi-heure.
Dans la même ligne que le test Optigen, le test Antagène pourra en plus de découvrir précocement les cockers atteints d’APR, réveler les porteurs sains et permettre ainsi d’aider les éleveurs à mettre en place la politique d’élevage de ne pas produire de chiens malades. (voir détails dans la rubrique Optigen)
Seul point noir actuellement, c’est l’attente de la commercialisation. Autre inconvénient, le mode de réglement en ligne, par carte bancaire est absent, seul sont acceptés les chèques et virements. Le mode de réglement en ligne pourrait faciliter et rendre plus rapide la prise en compte du dossier et pour les pays étrangers alléger la démarche.
Afin de sensibiliser maitres et éleveurs, le laboratoire a l’intention de se déplacer lors de grandes manifestations canines (championnat, Nationale d’élevage) et d’y effectuer un grand nombre de prélèvements.
Enfin, à noter également la confidentialité des tests, seules des statistiques seront communiquer au club de race.
Le laboratoire Antagène travaille actuellement sur d’autres maladies génétiques qui touchent le cocker anglais comme les cataractes juvéniles, le glaucome, etc. mais pas encore sur la néphropatie familiale.
Merci à Mr Laurent Houssais, chargé de développement d’Antagène, pour m’avoir consacré du temps et avoir si gentiment répondu à mes questions.
Conclusions :
Très important pour l’avenir de la race : garder la diversité des lignées !
Dans le cas de l’APR chez lelabrador, il est important de ne pas écarter systématiquement les chiens porteurs de l’élevage. Les buts principaux sont :
– Ne plus produire de sujets atteints.
– Identifier les sujets porteurs.
Les labos de recherche génétique encouragent vivement à continuer à travailler avec tous les chiens (en fonction d’autres critères également), pas seulement les « exempts »… sinon on risque à terme appauvrir le patrimoine génétique de la race, d’augmenter le taux de consanguinité, et de créer d’autres tares.
Les phrases vertes en italique ont été reprises sur le site web d’Antagène.
Comme pour toute maladie génétique chez le chien ou le chat, Antagene invite les éleveurs à ne pas reproduire les animaux porteurs ou atteints de l’anomalie génétique afin de limiter l’incidence de la pathologie héréditaire dans la race.
Il est cependant très important de distinguer plusieurs situations en fonction de la fréquencede la maladie dans une race donnée (voire dans une lignée) :• inférieure à 1% : la maladie est rare• entre 1 et 10% : la maladie est fréquente• supérieure à 10% : la maladie est très fréquente –> L’APR pouvant être considéré comme à plus de 50 % dans le cocker anglais, il est important de bien lire ce qui suit.
Dans tous les cas, il faut éviter de reproduire des animaux porteurs ou atteints d’une maladie génétique. Mais l’élimination de l’anomalie génétique doit toujours se faire progressivement sans augmenter la consanguinité et sans exclure de la reproduction des lignées entières de reproducteurs, au risque sinon de mettre en danger la diversité génétique de la race et de voir émerger d’autres maladies génétiques.
–> Vu l’importance de l’APR chez labrador, il serait dangereux de vouloir éradiquer les porteurs sains à court terme… N’élever qu’avec des sujets totalement « exempts » résulte en ce moment d’une utopie…
Un animal porteur ou atteint peut exceptionnellement être conservé pour la reproduction :
• à condition que l’anomalie génétique soit fréquente ou très fréquente dans la race (ou la lignée). –> Ce qui est le cas du Cocker anglais.
• à condition de le croiser avec un animal sain.
• à condition qu’il présente des qualités intéressantes pour l’amélioration de la race (morphologie, caractère, capacités de travail, etc).
• à condition de surveiller la descendance et de sélectionner absolument les descendants sains.
Une sélection intensive et trop rapide contre une maladie pourrait avoir de graves conséquences se traduisant par :
• la perte de certains caractères améliorateurs pour la race.
• la perte d’une diversité génétique indispensable à l’adaptation à long-terme de toute population animale.• un risque d’augmenter la consanguinité conduisant inévitablement à l’émergence d’autres maladies génétiques.
Par conséquent, dans les races ou les lignées au sein desquelles une maladie est très fréquente, il est capital de prendre en compte tous les critères dont dispose l’éleveur et de ne pas exclure aveuglement tous les sujets atteints : le remède serait vraiment pire que le mal.
Un exemple à ne pas suivre :
La gangliosidose est une maladie monogénique récessive qui touchait le Chien d’eau portugais aux Etats-Unis. Un test, développé à la fin des années 1980, avait alors permis d’estimer la fréquence de porteurs à 9%. Étant donné la fréquence de cette maladie, il était recommandé de ne pas exclure de la reproduction les chiens porteurs qui présentaient par ailleurs des qualités intéressantes pour la race et à condition de les croiser avec des chiens sains.
Les éleveurs ont tout de même exclu de la reproduction tous les chiens porteurs et ont sélectionné des chiens provenant d’une lignée ne portant pas cette anomalie génétique responsable de la gangliosidose. Malheureusement, cette nouvelle lignée était porteuse d’une autre maladie génétique, l’atrophie de la rétine. La sélection intensive pour cette nouvelle lignée a rapidement fait augmenter à 35% la fréquence de chiens porteurs d’atrophie de la rétine dans la race. Les éleveurs ont donc remplacé une maladie génétique assez fréquente (gangliosidose, 9%) par une autre maladie génétique t
rès fréquente (atrophie de la rétine, 35%) qui sera beaucoup plus difficile à éradiquer. L’émergence de l’atrophie de la rétine aurait pu être évitée en conservant des chiens porteurs de gangliosidose, à condition de les croiser avec des chiens sains et de surveiller la descendance. La gangliosidose aurait été éradiquée aussi efficacement par le remplacement progressif (en quelques générations) des chiens porteurs par leurs descendants sains ayant conservé les qualités des reproducteurs.
Quelques conclusions :
– L’APR est la principale maladie héréditaire qui touche le labrador et affecte grandement sa vie. Même si elle est indolore et n’est pas mortelle, elle rend quand même le chien aveugle, tôt ou tard. Apparemment, on aurait remarqué que plus l’APR est « ancrée » dans une lignée, plus son âge d’apparition est « précoce », ainsi chez certains chiens, la maladie peut déjà apparaître à l’âge de 4 ans. Dans la plupart des cas, la moyenne d’âge d’apparition de la maladie est de 8 ans. Mais un chien âgé de 8 ans peut encore être très énergique et la cécité peut lui gâcher la vie.
– Grâce aux tests de dépistage génétique, toute personne qui fait une portée, du plus petit particulier au plus grand éleveur, a la possibilité de ne plus produire de chien atteint d’APR, à moindre coût (50€ par reproducteur, ce n’est quand même pas la mer à boire, surtout qu’il ne serait pas obligatoire de faire tester tous les chiens, tout dépend des mariages, exemples : 2 exempts ne produiront que des exempts. La principale préoccupation est d’avoir au moins un des deux parents testés « exempt », cela permet d’assurer qu’aucun chiot ne sera tôt ou tard « atteint ».
– Attention, il ne faut surtout pas créer de polémique : Il peut s’avérer facile de jeter la pierre aux éleveurs qui ont été obligés de travailler « à l’aveuglette » avant les tests génétiques. Tout le monde a de l’APR dans ses lignées, surtout dans les unicolores, tous les éleveurs sont « dans le même bateau ». Mis à part ceux qui débutent actuellement et ont l’immense privilège de pouvoir commencer en sachant directement « où ils vont ».
– Concernant les résultats des tests, il est normal que chacun soit libre de les publier ou non… Il est trop facile de jeter la pierre aux autres… A chacun de travailler en son âme et conscience…
– L’avenir de l’élevage est dans la science et le progrès, d’ailleurs d’autres tests sont à l’étude dans différents labos. Concernant les cockers, les principales maladies étudiées actuellement sont la cataracte, le glaucome, le néphropathie familiale, etc. Le but des éleveurs doit être de continuer dans la conservation de la race et la production de beaux chiens, mais avant tout des chiens sains, bien dans leur corps et dans leur tête…
Remerciements au Docteur Laurent Bouhana (http://www.ophtavet.com) de nous avoir permis d’utiliser certains dessins et photos pour illustrer cet article.
La transmission par le mariage se fait selon les tableaux ci-dessous :
+/+ ou A : Homozygote non porteur : Le chien ne porte pas la mutation génétique et ne la transmettra pas à sa descendance.
+/- ou B : Hétérozygote porteur : Le chien est porteur de la mutation génétique et la transmettra statistiquement à la moitié de sa descendance. Le test génétique renseigne sur la présence de la mutation mais absolument pas sur le moment où la maladie risque de se déclarer et sa sévérité.
-/- ou C : Homozygote porteur : Le chien est porteur de 2 copies de la mutation génétique et la transmettra à 100% de sa descendance.
| Résultat
du test ADN |
Le chien
est |
Situation génétique | Développe-la
maladie ? |
Transmet l’anomalie génétique
à sa descendance ? |
| Homozygote
normal |
Sain | 2 copies normales du
gène |
NON | NON |
| Hétérozygote | Porteur
sain |
1 copie normale et 1
copie défectueuse du gène |
NON | OUI
statistiquement à 50% de la descendance |
| Homozygote
muté |
Atteint | 2 copies défectueuses
du gène |
OUI | OUI
à 100% de la descendance |
| Expected results for breeding strategies using the OptiGen prcd test | |||
| Parent 1 Status |
Parent 2 Status | ||
| Normal/Clear | Carrier | Affected | |
| Normal/Clear | All = Normal/Clear | 1/2 = Normal/Clear 1/2 = Carrier |
All = Carrier |
| Carrier | 1/2 = Normal/Clear 1/2 = Carrier |
1/4 = Normal/Clear 1/2 = Carrier 1/4 = Affected |
1/2 = Carrier 1/2 = Affected |
| Affected | All = Carrier | 1/2 = Carrier 1/2 = Affected |
All = Affecte |





















